牙齒/牙齦美白
案例
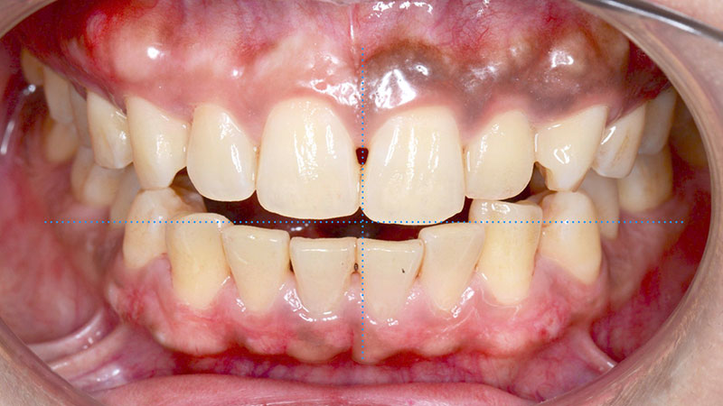
2017-11-15
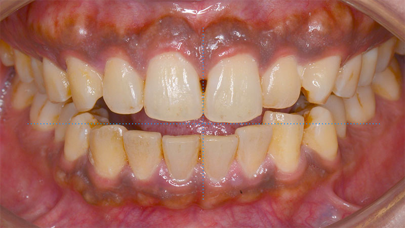
2018-08-05
狀況:因為長期抽煙,所以牙齒上有黃黃的煙垢。
改善:可以採用噴砂的方式,先將牙齒表面的酵污清乾淨,再透過雷射美白較不傷牙齒的美白方式進行美白。
如此能夠維持的時間比較久,且對於牙齒容易敏感的人,比較不刺激
2017-11-15
2018-08-05
狀況:因為長期抽煙,所以牙齒上有黃黃的煙垢。
改善:可以採用噴砂的方式,先將牙齒表面的酵污清乾淨,再透過雷射美白較不傷牙齒的美白方式進行美白。
如此能夠維持的時間比較久,且對於牙齒容易敏感的人,比較不刺激