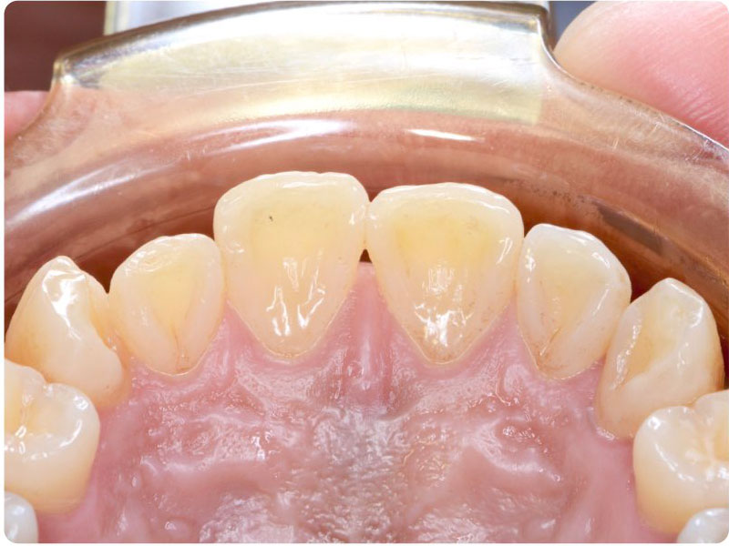
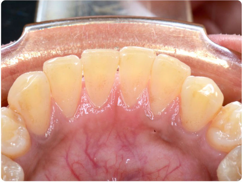
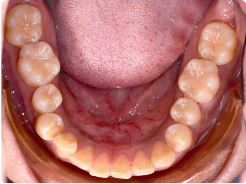
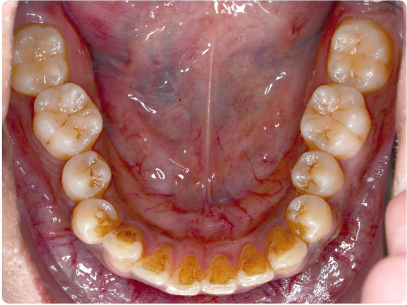
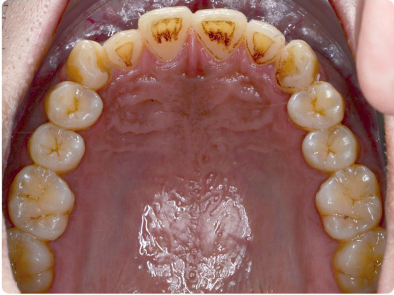
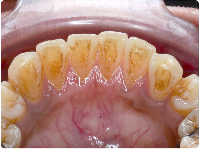
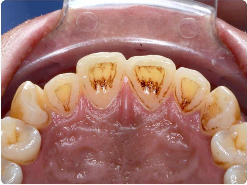
噴砂美白 首頁 案例分享 牙齦美白 噴砂美白 噴砂美白(菸垢/茶垢/紅酒) 術前 術後 術前 術後 術前 術後 術前 術後 案例 狀況:抽煙容易造成牙齦變黑,且殘留在牙齦上尼古丁等物質,長久累積可能對人體造成危害。 改善:可以採用水雷射的方式牙齦美白,水雷射是以水結合雷射透過特殊晶體產生奈米雷射光,其高速動能的切割動力,可切除暗沉牙齦,促進牙齦組織再生,而達到牙齦美白的效果。術後傷口更小,較無腫脹感,且可以快速恢復正常飲食,修復期短大約3〜5天。